Zum Hauptinhalt springenZur Hauptnavigation springen

Wieder Fehldiagnose: Gesunder Frau wegen Krebsverdacht Teil der Lunge entfernt

Wieder Fehldiagnose: Gesunder Frau wegen Krebsverdacht Teil der Lunge entfernt

Wieder Fehldiagnose: Gesunder Frau wegen Krebsverdacht Teil der Lunge entfernt

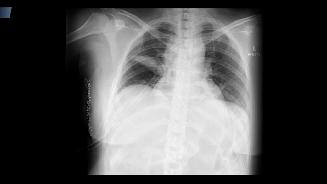
Einer Frau wird in der Steiermark ein Teil der Lunge entfernt. Die Diagnose: Ein bösartiger Tumor - doch die 48-Jährige hat gar keinen Krebs. Anwältin Karin Prutsch fordert daher jetzt eine Entschädigung für ihre Mandantin. Ein Fall, der an jene fatale Fehldiagnose erinnert, die jüngst ganz Österreich erschütterte: Einer 30-jährigen gesunden Frau wurde die Gebärmutter entfernt. Immer wieder gibt es in heimischen Spitälern solche falschen Diagnosen - mit schrecklichen Folgen für die Betroffenen.